详细介绍
品牌 | Stressmarq | 供货周期 | 一个月 |
---|---|---|---|
应用领域 | 综合 |
一、产品规格
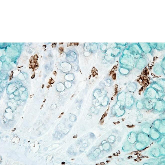
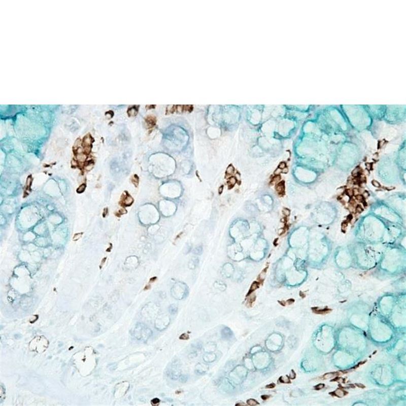
产品名称:Anti-DNA/RNA Damage Antibody 15A3抗体
品牌:StressMarq Biosciences
货号:SMC-155S/MC-155D
规格:12ug/100ug
二、产品基本介绍
Anti-DNA/RNA Damage Antibody 15A3抗体
产品名称 | DNA/RNA 损伤(8-OH-dG)抗体 |
产品描述 | 小鼠抗DNA/RNA 损伤(8-OH-dG)单克隆IgG2b |
适用物种 | 与物种无关 |
应用范围 | IHC, ICC/IF, ELISA, DB, IP, FCM, FA |
稀释度 | IHC (1:1000); 用户需根据具体情况决定的稀释度. |
宿主 | 小鼠 |
免疫原 | 8-羟基-鸟苷-BSA 和 –酪蛋白轭合物 |
浓度 | 1 mg/ml |
标记物 | APC, ATTO 390, ATTO 488, ATTO 594, Biotin, FITC, HRP, PerCP, RPE, 无标记 |
三、品牌介绍
StressMarq Biosciences Inc. 在2007年成立于加拿大维多利亚,是一家生物科技公司,专门从事试剂与试剂盒研究。我们有强大的国际经销商网络,主要为私人和公众客户提供经我们多次试验成功的试剂,服务范围遍及全球50多个国家。
StressMarq公司的核心技术领域为细胞应激(尤其是热休克蛋白(HSP)领域),离子通道,载体研究,同时在神经科学领域推出*的具有生物活性的Tau蛋白与α-突触核蛋白。产品领域涉及到:细胞凋亡、细胞信号、通路和转运、细胞器标志物、热休克、神经生物学、神经科学、氧化应激、磷酸化运输等。StressMarq的优势在于提供四种独立的产品系列,分别涉及抗体、蛋白、酶联免疫吸附试验(ELISA)试剂盒及小分子领域。核心领域:Nav、Cav、TRP、Kv、KCNQ、HCN,后者包括当前热门的核心领域:ENaC、NCC和NKCC2以及主要水通道蛋白载体。
(本文部分内容/图片来自品牌介绍,如有不妥,请联系修改更正或删除)
产品咨询